Stomatologie

Diagnostik und Therapie von Erkrankungen der Mundschleimhaut

Mundschleimhauterkrankungen können Ausdruck eines lokalen Geschehens, einer übergeordneten Dermatose (Hautkrankheit) oder einer Systemischen Erkrankung sein.
Einige Mundschleimhauterkrankungen können Vorstadien einer bösartigen Erkrankung sein. Veränderungen der Mundschleimhaut sind häufig, bereiten jedoch trotzdem oft Schwierigkeiten bei der Diagnose, da sie in zahlreichen Formen auftreten können und sich trotz verschiedener Ursachen oft ähneln.
Eine ausführliche Anamnese und eine gründliche Untersuchung stehen am Beginn jeder Behandlung. Zusätzlich können Gewebeproben und bildgebende Techniken notwendig sein, um die Befunde zu sichern.

Unsere Dienstleistungen

  • Klinische Kontrolle der Mundschleimhaut (Wangen, Gaumen, Zunge, Mundboden und Zahnfleisch)

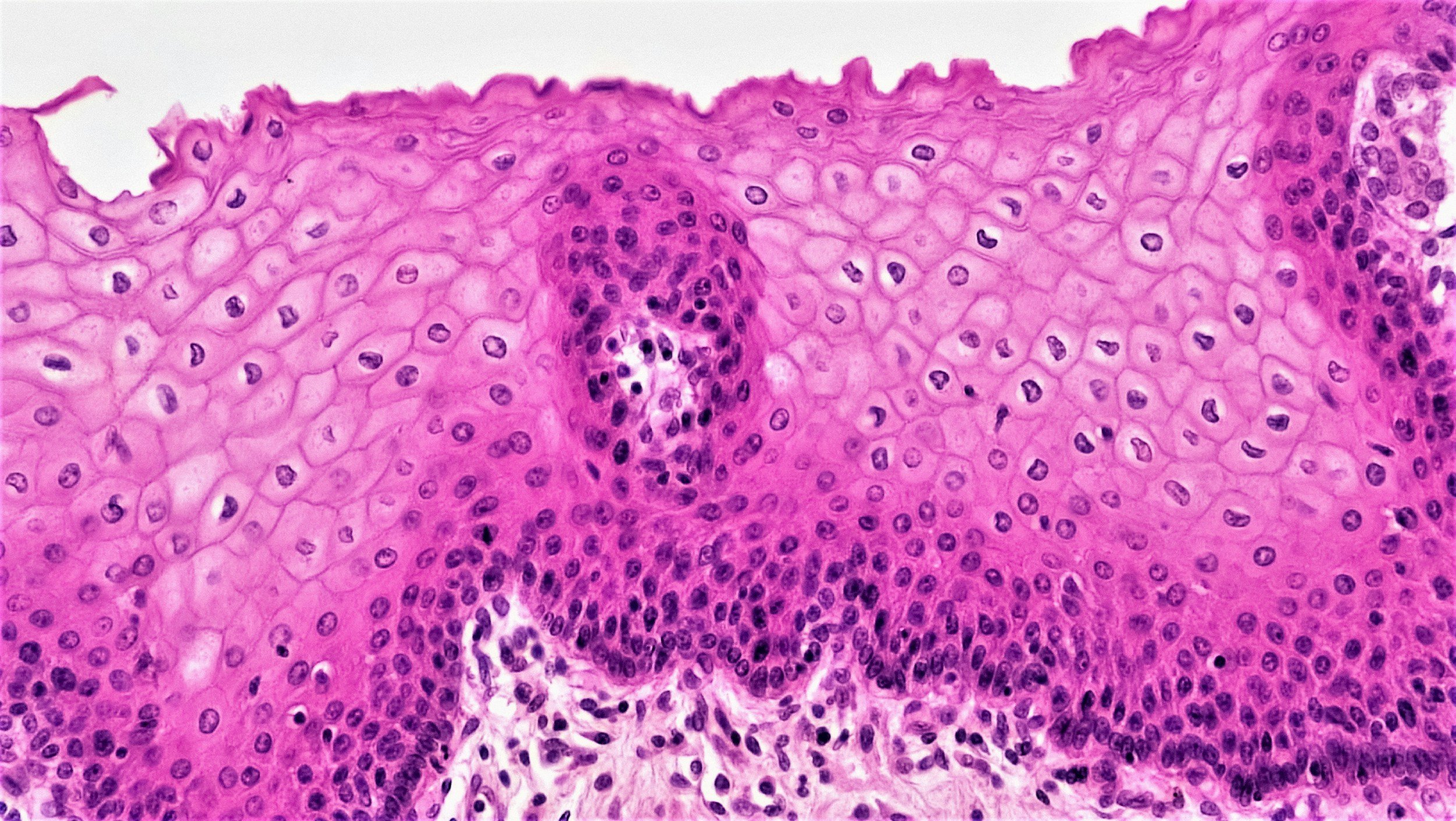
  • Biopsien (genaue Abklärung für eine präzise Diagnostik und entsprechende Therapie)

  • Therapie

  • Nachkontrollen

Mundschleimhautveränderungen reichen von harmlosen „Normvarianten“ und Gewebevermehrungen, über chronische Erkrankungen bis hin zu malignen (bösartigen) Veränderungen. Als Daumenregel gilt, heilt eine Mundschleimhautveränderung innerhalb zwei Wochen nicht ab, sollte diese abgeklärt werden.

    • Entzündliche Erkrankungen der Mundschleimhaut und der Lippen (z.B. Oraler Lichen planus, Schleimhautpemphigoid, Pemphigus)

    • Entzündliche Erkrankungen der Lippen (z.B. Ekzem, Cheilitis)

    • Sklerosierende Erkrankungen (z.B. Lichen sclerosus)

    • Oraler Befall im Rahmen von Hauterkrankungen z.B. (Lichen, Arzneimittelexanthemen),

    • Infektiöse Munderkrankungen (z.B. virale Infekte wie Herpes labialis)

    • Dysplasien, Tumoren (z.B. aktinische Cheilitis, Karzinome)

    • Oraler Befall im Rahmen von inneren Krankheiten (z.B. Bluterkrankungen)

    • Gezielte visuelle zahnärztliche Untersuchung des oralen Bereichs inkl. Zähne, Zunge und Mundschleimhaut

    • Gewebeproben (Biopsien) mit Histologie, Abstriche und mikrobiologische Untersuchungen

    • Lokaltherapie / Systemtherapie

    • Mundschleimhautpflege- und -Schutz

    • Antimikrobielle Therapie

    • Operative Therapie vor Ort oder gegebenenfalls Zuweisung in unserem Netzwerk

Termin vereinbaren

Sofia-Maria Belouka
Dr.med.dent.

Dr. Belouka ist Fachzahnärztin für Oralchirurgie und Spezialisiiert in der Fachrichtung Stomatologie.